Duke Emergency Medicine Joins National Network to Advance Emergency Care
Duke Emergency Medicine will participate in a new clinical trials network led by investigators at Oregon Health & Science University.
Charles Gerardo, MD, Elected as Member of the Executive Committee of Medical Staff
Dr. Charles Gerardo, Chief of the Division of Emergency Medicine and Associate Professor of Surgery, has been elected as a member of the Executive Committee of the Medical Staff (ECMS). Elected members represent Duke Hospital medical staff at-large.
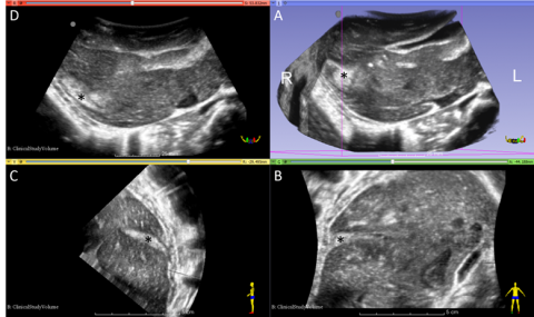
How a $10 Microchip Turns 2-D Ultrasound Machines to 3-D Imaging Devices
Dr. Josh Broder, Division of Emergency Medicine, demonstrates the low-cost, point-of-care ultrasound device
Duke Emergency Medicine Team Selected as Finalist for GE/Emergency Medicine Foundation Challenge
A team from the Division of Emergency Medicine has been selected as one of four finalists for the GE/Emergency Medicine Foundation Challenge for their work in 3D ultrasound (US) of traumatic shock.
Layer by Layer, 3D Printing Improves Patient Care at Duke
Using a network of 3D printers in the Innovation Co-Lab Studio at Duke, otolaryngology resident Tawfiq Khoury, MD, creates what was considered impossible just a few years ago.
Deshler appointed senior executive director of developmentDr. Charles Gerardo, Chief of Emergency Medicine, Discusses Treatments for Snake Bites
In a recent television interview with East Texas Matters, Dr. Charles Gerardo, Chief of Emergency Medicine, discussed treatment and prevention of venomous snake bites.
Duke Emergency Department Using Telemedicine to Reduce Patient Wait Times
In this video from WRAL News, Dr. Neel Kapadia, Assistant Medical Director, Division of Emergency Medicine, explains how Duke emergency physicians use a TeleHealth Cart to reduce patient wait time in the ED.
Duke Medical Student Receives Doris Duke International Clinical Research Fellowship
We would like to offer a heartfelt congratulations to Duke medical student Temi Gafaar, who is a recipient of the Doris Duke International Clinical Research Fellowship!
Dr. Stephanie Eucker Named Senior Reviewer for Annals of Emergency Medicine
Stephanie Eucker, MD, PhD, Assistant Professor of Surgery, Division of Emergency Medicine, has been named a Senior Reviewer for the peer-reviewed international journal Annals of Emergency Medicine.